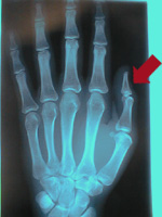
Hands

Injured winter 1996;
Where: Gloucester England;
Activity: Snowboarding without snow;
People: Mark, Howie, Peter, Steve;
Description: broke left thumb and sprained right wrist on one fall on a dry slope.
Fracture: outer left thumb;
Treatment: Bandages, splints used for 3 months;
Permanent damage: a tiny bit less flexiblity in left thumb. Worth it?:
NO!